კავერნომა
კავერნომა პათოლოგიური სისხლძარღვების ჯგუფია, რომელიც ძირითადად თავისა ტვინსა და ზურგის ტვინში ფორმირდება.
ეს პათოლოგია ასევე ცნობილია კავერნოზული ანგიომის, კავერნოზული ჰემანგიომის ან ცერებრული კავერნოზული მალფორმაციის სახელწოდებით.
ტიპიური კავერნომა შავი მაყვლის მსგავსია. ის სავსეა სისხლით, რომელიც ნელა იჟონება სისხლძარღვებიდან, რომლებიც გავს კავერნებს (ღრუებს/ფოსოებს). კავერნომის ზომა განსხვავებულია და რამდენიმე მილიმეტრიდან რამდენიმე სანტიმეტრამდე მერყეობს.
დიდ ბრიტანეთში, კავერნომის დიაგნოზის მქონე პაციენტების მხოლოდ ნახევარს აღენიშნება სიმპტომები და კავერნომის დიაგნოზის დასმა სხვა დაავადების დიაგნოზირებისთვის შემოწმების დროს მაგნიტურ რეზონანსულიგამომსახველობითი ტესტის ჩატარების შემდეგ ხდება. თუმცა, მიუხედავად იმისა, რომ პაციენტს გამოკვლევის დროს შეიძლება სიმპტომები არ აღენიშნებოდეს, სიმპტომები მაინც განვითარდება მოგვიანებით.
ვინ ავადდება
ცნობილია, რომ კავერნომა, რომელიც არ იწვევს, ან მომავალშიც არ გამოიწვევს სიმპტომებს, დიდ ბრიტანეთში ყოველი 600 ადამიანიდან 1-ს ექნება. გაერთიანებულ სამეფოში, ყოველწლიურად, უხეშად რომ ვთქვათ, 400 000 პაციენტიდან ერთს კავერნომის დიაგნოზს უსვამენ, რომელიც იწვევს სიმპტომებს.
საშუალოდ, ადამიანთა უმეტესობას, ვისაც განუვითარდება სიმპტომები, ეს სიმპტომები განუვითარდებათ, როდესაც მიაღწევენ 30 წლის ასაკს.
რა იწვევს კავერნომას?
კავერნომის გამომწვევი მიზეზები ბოლომდე ცნობილი არ არის.
ზოგჯერ, კავერნომის ოჯახური ისტორია არსებობს. თანდაყოლილი კავერნომის მქონე ადამიანის შვილს ამ თანდაყოლილი პათოლოგიის განვითარების 50%-იანი შანსი აქვს. თუმცა, კავერნომის მქონე 10 პაციენტიდან 9 პაციენტს ამ პათოლოგიის ოჯახური ისტორია არ აღენიშნება.
ზოგიერთი შემთხვევები დაკავშირებული იყო რადიაციის ზემოქმედებასთან, როგორიცაა ადრე ტვინზე გაკეთებული რადიოთერაპია (როგორც წესი ბავშვობის დროინდელი რადიოთერაპია).
კავერნომის სიმპტომები
კავერნომას შეუძლია გამოიწვიოს შემდეგი პრობლემები:
- გულყრა (ყველაზე გავრცელებული სიმპტომი, რომლის მკურნალობა შესაძლებელია მედიკამენტებით)
- წონასწორობის პრობლემები
- სისუსტე
- მეტყველების დარღვევა
- მგრძნობელობის დაკარგვა
- მხედველობის პრობლემები
- ინსულტი (გამოწვეულია თავის ტვინში სისხლდენით).
ეს პრობლემები ვითარდება იმის შედეგად, რომ კავერნომა აწვება ტვინის კონკრეტულ ადგილებს, ან კავერნომადან გამოჟონილი სისხლის შედეგად.
კავერნომას გარემომცველი უჯრედები, ხშირად უფრო თხელია, ვიდრე ჩვეულებრივი სისხლძარღვების, რაც ნიშნავს, რომ კავერნომა მიდრეკილია სისხლის გაჟონვისკენ. როდესაც კავერნომა იწყებს სისხლის გამოჟონვას, ეს ცნობილია, როგორც სისხლჩაქცევა.
ემეტეს შემთხვევბში, სისხლდენა ძალიან მცირეა (ჩაის კოვზის ნახევარი საშუალოდ) და შეიძლება არც გამიწვიოს სიმპტომები. თუმცა, მწვავე სისხლჩაქცევა შეიძლება სიცოცხლისთვის საშიში იყოს და შეიძლება გამოიწვიოს გრძელ-ვადიანი პრობლემები.
ზემოთ ჩამოთვლილი სიმპტომების შემჩნევის შემთხვევაში, აუცილებლად დაუყოვნებლივ დაუკავშირდით და გამოიძახეთ სასწრაფო სამედიცინო დახმარება, ნომერზე 112.
სიმპტომების მონიტორინგი
სისხლდენისა და მისი უკან შეწოვის დროს, კავერნომის ზომის ცვლილებიდან გამომდინარე, სიმტომები შეიძლება ვითარდებოდეს და შემდეგ უკუგანვითარებას განიცდიდეს.
სიმპტომების მონიტორინგი მნიშვნელოვანია, რადგან ახალი სიმპტომების განვითარება, შეიძლება სისხლჩაქცევაზე მიუთითებდეს.
ექიმმა შეიძლება გირჩიოთ თუ რა უნდა მოიმოქმედოთ ახალი, ან გაუარესებული სიმპტომების შემთხვევაში. ასევე შეიძლება რეკომენდაცია გაუწიონ ტვინის დამატებით გამოკვლევებს.
მაგნიტურ რეზონანსული გამოკვლევა და კომპიუტერული ტომოგრაფია შეიძლება გამოყენებული იყოს ტვინზე სისხლდენის აღმოსაჩენად, მაგრამ მათ შეიძლება ვერ აღმოაჩინონ კავერნომა, რომელიც სისხლდენის გაზრდის რისკშია. ეს იმიტომ ხდება, რომ კავერნომას ფორმები, რაც შეიძლება გამოჩნდეს ტვინის სკანირების დროს, როგორიცაა მაგალითად მისი გაზრდილი ზომა, არ არის პირდაპირ დაკავშირებული სისხლდენის ალბათობასთან.
მიუხედავად იმისა, რომ კავერნომა შეიძლება გაიზარდოს ზომაში, ეს არ ნიშნავს, რო დიდ კავერნომებს, სისხლდენის მეტი ალბათობა გააჩნიათ.
რა არის კავერნომას სისხლდენის შანსი?
სისხლჩაქცევის რისკი ცვალებადია სხვადასხვა ადამიანებზე და დამოკიდებულია ადრე არსებულ სისხლდენებზე.
ადამიანებს, ვისაც არ ჰქონდათ ადრე სისხლდენა, შეფასებულია, რომ ექნებათ 1%-ზე ნაკლები შანსი ყოველწლიურად სისხლჩაქცევის განვითარების.
თუ კავერნომა იყო სისხლმდენი ადრე, სისხლჩაქცევის რისკი იქნება 4%-დან 25%-მდე ყოველწლიურად. თუმცა ეს რისკი პროგრესულად მცირდება დროტა განმავლობაში, თუ ხელახალი სისხლდენები აღარ მოხდება და საბოლოოდ ჩამოდის იმ დონემდე როგორც ეს აქვთ ადამიანებს, ვისაც არ ჰქონია სისხლდენა ადრე.
მკურნალობის დადებითი მხარეების შეფასების დროს, ზუსტად ამ რისკ ფაქტორებს აკვირდებიან.
მკურნალობა
კავერნომას სიმპტომები, როგორიცაა კრუნჩხვები და თავის ტკივილი, შეიძლება წამლების საშუალებით გაკონტროლდეს.
თუმცა, ზოგჯერ, სისხლჩაქცევის რისკის შესამცირებლად შესაძლებელია საჭირო გახდეს უფრო მეტად ჩარევადი მკურნალობა. ასეთ მკურნალობაზე გადაწყვეტილების მიღება ხდება შემთხვევების გაანალიზებით და ექიმთან ერთად გაანალიზებით.
გაერთიანებულ სამეფოში დაავადების მკურნალობის სახეებია:
- ნეიროქირურგია - ზოგადი საანესთეზიო საშუალებების გამოყენებით კავერნომის ამოკვეთის მიზნით ტარდება ოპერაცია
- სტერეოტაქტური რადიოთერაპია - ანესთეზიის საჭიროების გარეშე, კავერნომაზე ერთდროულად ბევრი ძალიან დაბალი ენერგიის მქონე რადიაციული სხივის დამიზნება ხდება, რომ გამოიწვიონ კავერნომის გასქელება და დანაწევრება.
რადიოთერაპიას უმეტეს შემთხვევებში ნეიროქირურგიას ამჯობინებე, რადგან სტერეოტაქტური რადიოთერაპიის ეფექტები სისხლჩაქცევების პრევენციისთვის, ჯერ ბოლომდე არ არის შესწავლილი. ამიტომ ის მხოლოდ მაშინ გამოიყენება, როდესაც კავერნომის მდებარეობიდან გამომდინარე ნეიროქირურგიული ოპერაციის გაკეთება ძალიან ძნელი, ან სახიფათოა.
მკურნალობის რისკები ინსულტსა და სიკვდილს მოიცავს, თუმცა ზუსტი რისკები თავისა და ზურგის ტვინში კავერნომის ადგილმდებარეობაზეა დამოკიდებული.
მეტი ინფორმაცია
ამ პათოლოგიის გამომწვევი მიზეზის, დეფექტური სისხლძარღვების ფორმირებისა და კავერნომის მქონე პაციენტების პროგნოზის შესახებ მეტი ინფორმაციის დასადგენად საერთაშორისო კვლევები ტარდება.
კავერნომის შესახებ მეტი ინფორმაციისთვის იხ. გაერთიანებული სამეფოს კავერნომის ალიანსისვებგვერდი Cavernoma Alliance UK.

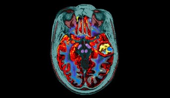
მაგნიტო-რეზონანსული გამოკვლევის სურათი აჩვენებს ტვინზე კავერნომას (ყვითლად მონიშნული).

კომენტარის დამატება